Bu yazımızda RVG sistemleri hakkında en çok karşılaşılan sorular ve cevaplarını vermeye, sistemin nasıl çalıştığını, kullanım detaylarını, satın alırken nelere dikkat edileceğini ve teknik terimlerin kullanıcı için ne anlama geldiğini açıklamaya çalışacağız.

Dişlerden bir ya da birkaçının kök ve kemik yapısını incelemeye yarayan Dijital görüntüleme aygıtına verilen isimdir. “Radio Visio Graphy” kelimelerinin baş harflerinin birleşimidir. CCD veya CMOS algılayıcı (sensor) olmak üzere iki türü vardır. CCD teknolojisi eski olmasına karşın daha yüksek çözünürlük ve gri tonlama sunmakla beraber üretim maliyetlerinin yüksek olması ve fazla enerji gerekliliğinden dolayı artık tercih edilmemektedir. CMOS ise kolay uygulama ve düşük üretim maliyetlerinden dolayı daha çok tercih edilir. Fakat bu cihazların görüntü ve renk kalitesi CCD’ye göre %40 daha düşüktür. Görüntü kalitesindeki eksiklik yazılım filtreleme teknikleri ile giderilmektedir. Algılayıcı katmana çarpan Xray ışını görülebilir izdüşümü haline dönüşür ve CCD/CMOS üzerinde bulunan fiber optik yansıtıcıya ulaşır, fiber yansıtıcı ışığın doğrusal olarak fiber lifleri içinde hareket etmesini sağlar. CCD/CMOS algılayıcı, edindiği ışık huzmesini milisaniyeler içinde işleyerek görüntüyü yazılıma aktarır.

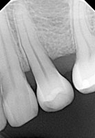
Yapılan en büyük yanlışlardan birisi 90 derece kuralını ihlal etmektir. Bu kurala radyolojide paralel çekim tekniği de denmektedir. XRAY ışını sensör üzerine dişleri/çene kemiğini geçtikten sonra 90 derecelik dik açı ile düşmelidir. Aksi halde; olduğundan daha uzun, daha kısa, daha kalın veya daha ince görünen diş/çene kesiti yansıyacaktır. Bu da kanal boyunu yanlış ölçmemize veya kanal çapı hakkında yanlış karar verilmesine sebep olabilir. Yine gelişen fiber optik teknolojisi ile bu çekim hataları %10 açı hatalarına kadar algılayıcı üzerinde düzeltilebilir. Bu özellik, algılayıcı üretim maliyetinin yükselmesine neden olur.
RVG’den Yüksek Görüntü Kalitesi Nasıl Elde Edilir?
İyi görüntü almanın en büyük sırrı doğru pozisyon, hasta anatomisine uygun doz miktarı ve en önemlisi DC bir röntgen cihazı kullanmaktan geçer. DC röntgen cihazları yeni teknoloji olup yaydığı Xray dozu parazitsiz ve çok nettir. AC röntgenlere göre %30 daha az doz ile çalışmanıza, ayrıca daha net görüntü almanıza yardımcı olur.
RVG Cihazlarının Kullanım Ömrü Ne Kadardır?
Bu konuda ölçülebilir bir veri şimdilik üretici firmalardan sağlanamamıştır. Fakat üretici firmaların açıkladıkları endüstriyel ömürleri 50.000 ila 95.000 çekim sayısı ile sınırlıdır. Teorik olarak bu günlük 10 adet çekim yapan bir hekimin yaklaşık 13 yıl kullanımına denk gelir. Dikkatsiz kullanım ve çevresel faktörler cihazın ömrünü düşürür. Örneğin yüksek rakımlı ve soğuk iklim koşullarında algılayıcının çekim ısısına ulaşamaması, sıcak iklim koşullarında çalışması, kullanılan PC bağlantısındaki voltaj dengesizlikleri, kablo burulmaları ve kopmaları ve en önemlisi aşırı yüksek (periapikal seviyesinde) dozlu şutlamalarda Xray algılayıcı fosfor katmanın yanması gibi sebepler sayılabilir.
RVG seçerken nelere dikkat edilmelidir?
Seçim yaparken öncelikli ve önemli faktör satıcı güvenirliğidir. Günümüzde tüm üreticiler 24 ay standart garanti sağlamaktadır. Satıcılar ve kullanıcılar arasındaki ilişki genellikle cihazın ilk arızasından sonra ortaya çıkmaktadır. Bu sorunlar satıcının zarar etme kaygısı veya ürünün sürekli bayi değiştirmesi gibi sebeplerden ötürü tarafları karşı karşıya getirmektedir. Bu gibi durumlara maruz kalmamak için satıcının konuya hâkim olup olmadığı, ne kadar süredir bu ürünün satışını yürüttüğü, eski kullanıcılarından referans verip-veremediği, ürünün menşei şahadetnamesi (ürünün üretildiği ülke ve üretici belgesi) varsa CE belgesi ibraz etmesini isteyiniz. Ayrıca bilgisayar uyumluluğunu da kontrol ediniz. Eski bir işletim sistemine sahip bir bilgisayar yeni nesil bir RVG cihazı ile uyum sağlamayabilir. Bu bilgiyi satıcınızdan doğrulatabilirsiniz.
RVG Sensör Ebatları Nelerdir? Nasıl Seçim Yapılır?
Sensör ebatları üreticiye göre değişmekle beraber en yaygın olan ölçüler; boy (size) 0, 1, 1.5 ve 2’dir. Seçim yaparken dikkat edilmesi gereken en önemli faktör hasta çalışma yaş grubunuz ve ortodonti tedavi uygulamanız var mı? Ortodontistler genelde panoramik röntgen cihazlarına yönelmiş olsalar dahi çekim alanının büyük olması sebebi bile boy 2 algılayıcı (sensor) genelde tercih ederler. Standart yaş aralığında çalışan hekimler 1 veya 1.5 tercih edebilirler ve son olarak çocuk hasta ile çalışan hekimler “0” boy algılayıcı (sensor) kullanabilirler. Bu seçimler tamamen hekimin tercihine bağlıdır ve kesinlikle bir kural değildir.
RVG Cihazı Kullanırken Nelere Dikkat edilmelidir?
RVG cihazı kullanırken yapılan en yaygın hata algılayıcı (sensor) kablosunun hasta ağzında aşırı derecede katlanmasıdır. Kablo belirli bir burulma direncine ve sayısına göre tasarlanmıştır ancak bu sonsuz değildir. Meydana gelen arızaların %80’lik kısmı kablo burulması, kırılması, ısırılması, ezilmesi ve kopması sebebi ile kullanıcı hatalarından oluşmaktadır. Diğer bir kritik nokta ise algılayıcının (sensor) koruyucu kılıf olmadan kullanılmasıdır. Koruyucu kılıf hem hastalıkların yayılmasını önlemede hem de algılayıcının (sensor) sıvı ile sürekli temasını ortadan kaldırmaktadır. Kılıf seçimi yaparken de dikkat edilmesi gereken noktalar vardır. Bunlar kılıfın kimyasal içeriğinde metal içerik olmaması ve görüntü kalitesini olumsuz etkilemesi, hasta konforunu bozacak kadar sert ve keskin kenarlı olmamalıdır. Sensörler yapısı itibarıyla çok hassas elektronik devrelere ve CCD/CMOS cam sensörlere sahiptir. Bu sebepten dolayı darbelere karşı çok nazik yapıda olup, düşme ve çarpmalarda zarar görebilmektedir. Sensörler gelişen teknoloji ile elektronik devreleri ve sensörü içinde barındıran kompakt bir yapıya sahip olmaya başlamıştır. Bu da beraberinde hassas yazılım ve donanım kimlik bilgileri içeren elektronik bileşenlere sahip olduğu anlamına gelir. Bilgisayara bağlı ve çalışmakta olan bir RVG cihazının aniden USB bağlantıdan çekilmesi EPROM silinmelerine ve cihazın tamir edilmeden ve yazılım yüklemesi yapmadan çalışmamasına sebep olabilmektedir.
RVG Cihazı Teknik Özellikleri Nelerdir? Terimler Ne anlama Gelir?
Sensör Yapısı; daha öncede söz edildiği üzere CCD ve CMOS olarak ikiye ayrılmaktadır.
Teorik ve Gerçek çözünürlük;
Aktif Alan; Dış ebatlardan bağımsız olarak içeride gözle görülemeyen sensörün çevresinin mm2 cinsinden aldığı görüntü boyutudur.
Xray Algılayıcı katman teknolojisi: En yaygın olarak kullanılan iki çeşit (sintilatör) katman vardır, bunlar Sezyum İyodür (CsI) ve Gadolinyum Oksisülfat GdOS (Gadox veya GOS), şu anda mevcut olan en yaygın iki DFP (Digital Flat Panel) sensör algılayıcı bileşiktir ve her ikisinin de kendilerine özgü avantajları vardır. CsI panelleri, daha yüksek çözünürlük, daha iyi ayrıntı sunar ve gereken poz dozunu GOS katmanlara göre yaklaşık %10 oranında azaltır. GOS paneller üretim maliyetlerinin düşük olması sebebi ile ekonomik ürün taleplerini karşılamak için tercih edilebilmektedir.
Gri tonlama değeri: Bu sayı bugün en fazla 4096 renk ile kullanılmaktadır.
Piksel Ebadı: 19x19 µm, 20x20 µm, 34x34 µm gibi değerler ile anılır, bu değer ne kadar düşük olursa alınan görüntü kalitesi artmakta ve resim üzerindeki pikseller gözle görülemez seviyelere ulaşır.
Piksel Sayısı: Bu değer firmanın belirttiği yatay ve dikey piksel sayılarının çarpımı ile elde edilir. Örneğin: 1050 x 1500 = 1.575.000 Pilksel. Kısaca yuvarlak rakam 1,5 Mega Pikseldir.
Dış ebatlar: Üretici firmalar arasında sensörün darbelere karşı korunması için aldıkları önlemler ve kullandıkları elektronik devrenin yapısına göre değişkenlik gösteren kalınlıkları ve boyutları temsil etmektedir. Kullanıcı için önemli olan sensörün kalınlık değeridir. Bu değer ne kadar ince olursa hasta ağzı içinde hareket kabiliyeti o kadar rahat olacaktır.
Bağlantı şekli: Eski nesil cihazlarda Ethernet ve PCI bağlantısı kullanılmaktaydı. Bu daha sonra yerini USB, Bluetooth ve WiFi sistemlere bıraktı. En yaygın olarak kullanılan genellikle USB bağlantıya sahip ürünlerdir.
Yazılım ve sürücü (driver) uyumluluğu: Yazılım, RVG sisteminin en önemli ikinci parçasıdır. Günümüz cihazları neredeyse yazılım desteği olmadan teşhis koymak için yeterli kabiliyete sahip değildir. Yazlım ile uygulanan filtre ve yardımcı araçlar hekime daha fazla detay ve teşhis kolaylığı sunmaktadır. Sürücü uyumluluğu da mevcut bilgisayarınızda kullanım için önemli bir faktördür. Windows işletim sistemleri gün geçtikçe daha sert önlemler alarak bilgisayar güvenliğini ön planda tutmaktadır. Bu kapsamda sürücü imzası bulunmayan donanımların çalışması engellemekte ve bilgisayarın bu donanım ile çalışmasına izin vermemektedir. Tercih yaparken Win8 ve üstü cihazlarda sürücü imzası olan RVG cihazları tercih etmeye özen gösterin. Ayrıca en çok rastlanan sorunlardan bir tanesi işletim sistemi 32 ve 64 bit mimarisinden kaynaklanan program ve sürücü uyumsuzluklarıdır. 2015 yılından sonra üretilen RVG cihazlarının çok büyük bir bölümü artık 32/64 bit sürücülerini barındırmaktadır. Daha önce üretilmiş RVG cihazları için maalesef eski 32 bit işletim sistemi kullanma zorunluluğu devam etmektedir.
Hazırlayan: Erçin DALGIÇ
Editör: İbrahim SARI







